
変形性膝関節症、関節リウマチ、外傷による後遺症などで、リハビリテーションや注射などの保存的な治療の効果が得られない状態までダメージを受けてしまった膝関節は、症状が回復する可能性が低く、日常生活が制限されるほどの非常に強い痛みを伴います。特に軟骨が完全に欠損してしまった場合は細胞治療などを行っても軟骨は完全には再生しないため効果は乏しいです。
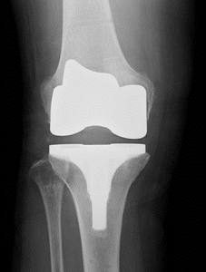
人工膝関節は表面に金属を置換することでこの痛みを取り除き、膝関節を正常に機能させる手術です。症状の進んだ膝関節を人工膝関節に置き換える手術を人工膝関節置換術といいます。人工膝関節手術には膝関節軟骨部分をすべて置換する人工膝関節全置換術と痛んだ内側部分または外側部分をかえる人工膝関節部分置換術の2種類が存在します。
人工膝関節は下図のように、主に大腿骨部、脛骨部の部品で構成されています。大腿骨部は金属製です。脛骨部は耐久性にすぐれたプラスチックでできており、軟骨の役割をして、スムーズな関節の動きとなります。また当院では世界でも最先端のロボットを導入することで、患者さん一人一人に対してオーダーメイドの人工膝関節を行っております。

















